loader
Bestill time Lukk skjema

Fyll ut skjema for timeforespørsel

*Ved innsending samtykker du til personvernerklæringen

Gingivitt

Hva er gingivitt?
Gingivitt er en betennelse i tannkjøttet (gingiva).



Tegn på gingivitt.
Et friskt tannkjøtt har lys rød farge og ligger stramt inntil tennene (fig I). Et betent tannkjøtt får en mørkere rødfarge, det blir hovent og kan føles ømt ved berøring (fig. 2). Videre vil man kunne oppleve at tannkjøttet blør ved rengjøring og at det ligger mindre stramt inntil tennene.

Hvordan oppstår gingivitt?
Mangelfullt renhold kan over tid føre til utvikling av gingivitt. Dette skyldes bakterier og mykt belegg (plakk) som blir liggende i tannkjøttskanten.

Om man danner mye tannstein, vil også dette kunne medvirke til utvikling av gingivitt. Det er særlig vanlig at gingivitt oppstår mellom tennene og ellers der det er vanskelig å holde rent.

Hvordan kan man forhindre gingivitt?
Gingivitt er en reversibel tilstand og grundig renhold kan gjøre tannkjøttet friskt igjen:


  • Man bør bruke tannbørsten nøye, men skånsomt i tannkjøttskanten, slik at tannkjøttet ikke skades og trekker seg tilbake. En slitt tannbørste er lite effektiv. Bytt derfor børstennår busten spriker.

  • Mye plakk og bakterier samler seg mellom tennene. Rengjør derfor mellom tennene minst en gang per dag. Dersom tennene står tett, vil tanntråd være et effektivt hjelpemiddel. For å komme til mellom jekslene, kan det med fordel brukes en tanntrådholder. Ved større mellomrom mellom tennene, vil mellomromsbørster egne seg best. Disse kommer i ulike størrelser og brukes på tilsvarende måte som tannstikker.

  • Rutinemessig tannrengjøring hos tannlege eller tannpleier er også nødvendig for å sikre friske forhold i tannkjøttet. Hvor ofte dette bør gjøres er individuelt og avhenger av hvor fort plakk og tannstein dannes.
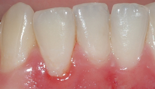
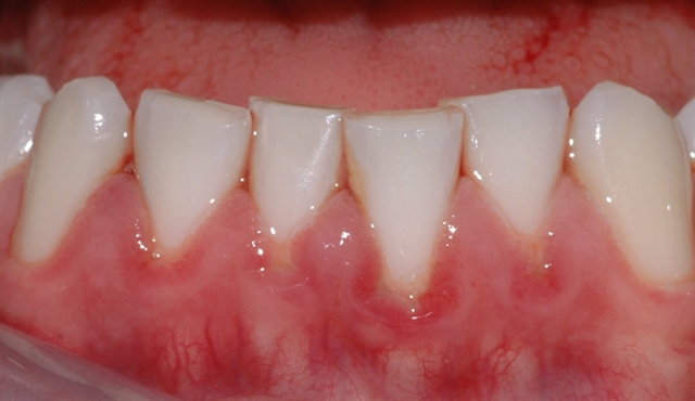
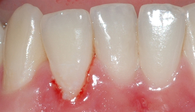
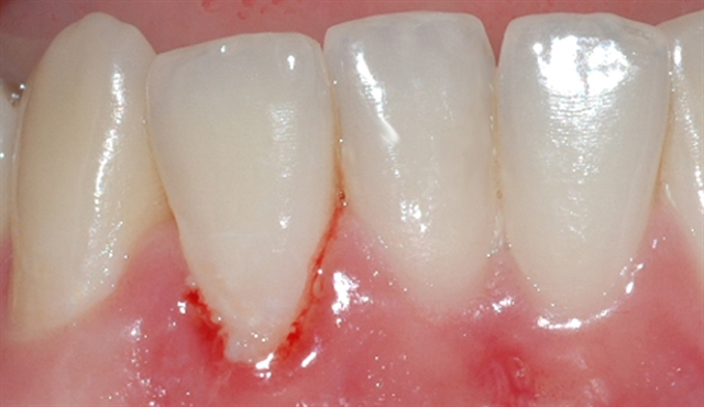
  • gingivitt Pasient 1 1
    gingivitt Pasient 1 1

    Bildet viser belegg langs tannkjøttet på en fortann i underkjeven. Tannkjøttet er noe rødt og hovent.

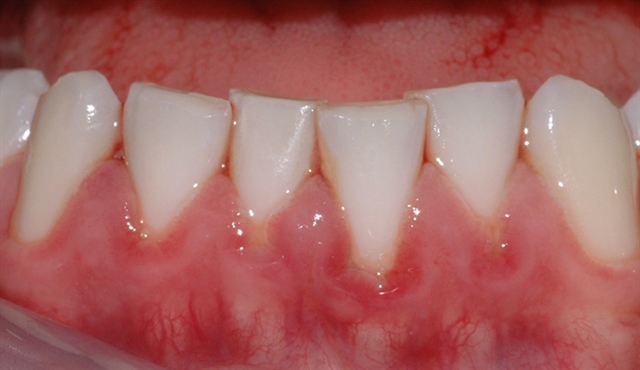
  • gingivitt Pasient 1 2
    gingivitt Pasient 1 2

    Når man berører tannkjøttet, begynner det lett å blø.

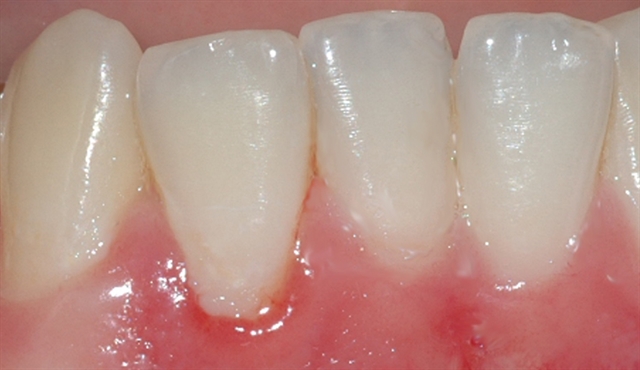
  • gingivitt Pasient 1 3
    gingivitt Pasient 1 3

    Ved å benytte et fargestoff, kan man lettere se belegget som er årsak til betennelsen i tannkjøttet.

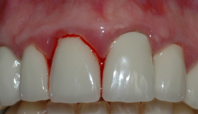
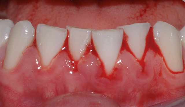
  • gingivitt pasient 2 1
    gingivitt pasient 2 1

    Bildet viser tannkjøtt i overkjeven med kraftigere og mer utbredt betennelse.

  • gingivitt pasient 2 2
    gingivitt pasient 2 2

    Tannkjøttet begynner lett å blø ved berøring.

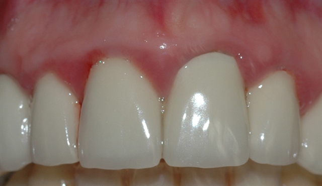
  • gingivitt pasient 3 1
    gingivitt pasient 3 1

    Bildet viser hvordan belegg har ført til rødt og hovent tannkjøtt ved flere tenner.

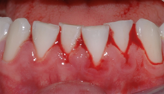
  • gingivitt pasient 3 2
    gingivitt pasient 3 2

    Tannkjøttet blør kraftig når pasienten pusser tennene. Ved godt renhold over tid, vil betennelsen forsvinne.

loader