loader
Bestill time Lukk skjema

Fyll ut skjema for timeforespørsel

*Ved innsending samtykker du til personvernerklæringen

Estetisk kroneterapi

Med tiden er det mange forhold som kan forringe estetikken på tennene. De kan for eksempel få hull som blir reparert med fyllinger, de kan bli misfarget av det vi spiser og drikker, de kan få slitasjeskader etter tannbørsten eller sprekkdannelser i emaljen som trekker til seg misfarginger. Dersom man ønsker penere tenner igjen, kan dette i enkelte tilfeller løses ved hjelp av keramiske kroner.

Framstilling av en krone:
For å lage en krone må gamle fyllinger i tannen fjernes og det som er igjen av tannen slipes og formes til (fig I-II).

Det tas så et avtrykk før den slipte tannen dekkes med en midlertidig krone. Etter omlag 1-2 uker er den permanente kronen ferdig og kan sementeres på plass (fig. III-IV). Kronens farge og fasong tilpasses individuelt slik at sluttresultatet blir pent og naturlig.
figur I figur II figur III figur IV

Hele prosessen er tidkrevende og teknisk vanskelig både for tannlegen og tannteknikeren. Det er derfor prisen på en krone er høyere enn for en vanlig fylling.

Hva er kronen laget av?
Det finnes flere ulike kronetyper og disse har forskjellige egenskaper når det gjelder styrke og estetikk. De to vanligste typene er 1) helkeramiske kroner og 2) kroner med en innerkjerne av metall med porselen (keram) brent utenpå.

Helkeramiske kroner (rene porselenskroner) har god estetikk og benyttes først og fremst der kravet til et pent resultat er spesielt høyt. Det finnes nå svært sterke keramer, slik at denne kronetypen også noen ganger kan brukes på tenner med større tyggetrykk.

Hvor lenge varer en krone?

Det er meningen at en krone skal vare i mange år. Likevel er det en del forhold som kan forkorte levetiden til en krone:
  • Brudd av porselen:
    En krone blir ved tygging utsatt for store krefter. Uheldige belastninger kan over tid føre til at biter av porselenet knekker av. Dette har normalt ingen praktisk betydning og kan i noen tilfeller repareres med en fylling. Dersom kronens funksjon eller estetikk forringes vesentlig, kan det være nødvendig å lage en ny krone.

  • Karies i kronekanten:
    Det kan ikke bli hull i selve kronen. Derimot kan det bli hull i tannen nedenfor kronens avslutning. Slike hull kan noen ganger repareres med en fylling. Dersom hullet er stort, kan det bli aktuelt med ny behandling.

  • Tannsmerter/ rotfylling:
    En del tenner med dype hull og store fyllinger kan etterhvert få redusert blodomløp i nerven. De er derfor mer utsatt for betennelser og infeksjoner som kan medføre tannsmerter. Dette gjelder også tenner som er beslipt og påsatt krone. For å rotfylle en tann med krone, må man borre en åpning gjennom kronen og inn til nerven. Åpningen tettes igjen med fylling etter at tannen er ferdig rotfylt. 

For å ta best mulig vare på kronen, bør du:

 
1. Bruke tannbørsten nøye, men skånsomt i tannkjøttskanten slik at tannkjøttet ikke skades og trekker seg tilbake. En slitt tannbørste er lite effektiv. Bytt derfor børsten når busten spriker.



2. Gjøre rent mellom tennene minst en gang per dag. Dersom tennene står tett, vil tanntråd være et effektivt hjelpemiddel. Ved større mellomrom mellom tennene, vil tannstikker eller mellomromsbørster egne seg best. Mellomromsbørster kommer i ulike størrelser og brukes på tilsvarende måte som tannstikker. 



3. Skylle regelmessig med fluor for å unngå karies i kronekanten. Fluor styrker tennene og er derfor viktig for forebygging av karies.
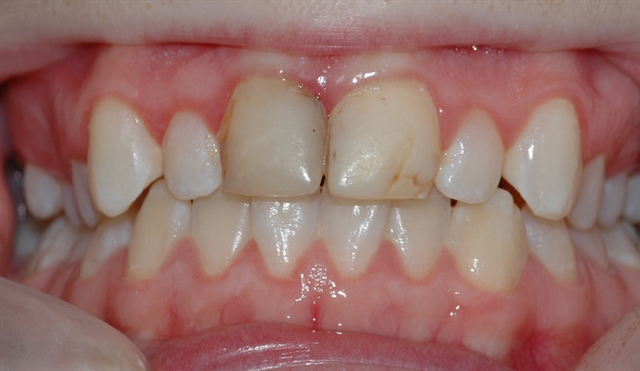
  • Estetisk krone 1
    Estetisk krone 1

    Bildet viser to fortenner som har skjemmende plastfyllinger. Fyllingene er misfarget og har utilfredsstillende estetikk.

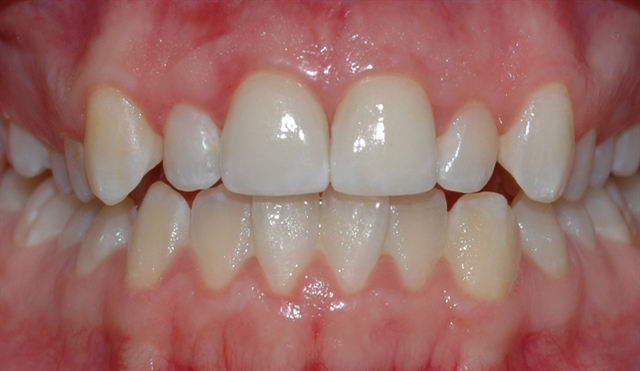
  • Estetisk krone 2
    Estetisk krone 2

    Bildet viser resultatet etter at fyllingene er erstattet med keramiske kroner.

  • Estetisk krone 3
    Estetisk krone 3

    Bildet viser fortenner med utette fyllinger, frakturer og slitasjeskader som følge av tanngnissing.

  • Estetisk krone 4
    Estetisk krone 4

    Bildet viser resultatet etter at tennene er reparert med keramiske kroner.

loader